首页 > 其他 > 详细

Basophil嗜碱粒细胞

时间:2014-11-04 10:41:21      阅读:320      评论:0      收藏:0      [点我收藏+]

单词

granulocyte粒细胞

agranulocyte 非粒细胞

 

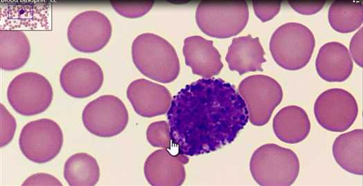
Basophil嗜碱粒细胞---处理身体过敏反应,占血液中粒细胞总数的0.2%,属于骨髓祖细胞

Basophil属于粒细胞,粒性白细胞(细胞质中含有颗粒的一类白细胞)

 

图中 basophil中含有大量颗粒,挡住了细胞核

bubuko.com,布布扣

 

Basophil嗜碱粒细胞

原文:http://www.cnblogs.com/biopy/p/4072837.html

(0)
(0)
   
举报
评论 一句话评论(0
关于我们 - 联系我们 - 留言反馈 - 联系我们:wmxa8@hotmail.com
© 2014 bubuko.com 版权所有
打开技术之扣,分享程序人生!