首页 > 其他 > 详细

Eosinophil嗜酸性细胞

时间:2014-11-04 10:54:41      阅读:357      评论:0      收藏:0      [点我收藏+]

 

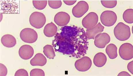
 Eosinophil嗜酸性细胞----占血液中粒细胞总数的2%一5%,主要参与抗寄生虫感染。在I型超敏反应中,嗜酸粒细胞可分泌某些酶类等活性物质,发挥负调节作用.例如与蛔虫感染有关的嗜酸性粒细胞增多性哮喘41例临床分析。

电显扩大一千倍后图像:

bubuko.com,布布扣

 

Eosinophil 有bi-lobe nuclei,是双核

bubuko.com,布布扣

 

cytoplasma细胞质

eosinophil是双lobe,有颗粒的细胞

bubuko.com,布布扣

 

Eosinophil嗜酸性细胞

原文:http://www.cnblogs.com/biopy/p/4072813.html

(0)
(0)
   
举报
评论 一句话评论(0
关于我们 - 联系我们 - 留言反馈 - 联系我们:wmxa8@hotmail.com
© 2014 bubuko.com 版权所有
打开技术之扣,分享程序人生!